ホワイトニング
だんだんと春の待ち遠しい季節になりましたね🌺
こんにちは、歯科衛生士の中村です。
今日はホワイトニングについてのお話しです。
ホワイトニングには、ご自身でマウスピースを用いて行うホームという方法と、医院で歯科医師や歯科衛生士が行うオフィスという方法に分かれています。
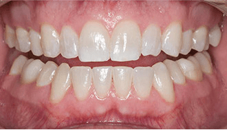
今回は、医院で行うオフィスホワイトニングについて👩🏫!
オフィスホワイトニングは1回の効果が高く、短時間で負担なく歯を白くできます。
忙しい方や、この日までに白くしたいという方におススメです。
オフィスホワイトニングでは、まず歯ぐきに保護剤を塗り、それからホワイトニング剤を塗布していき、そしてホワイトニングライトを照射します。
それからホワイトニング剤を除去・洗浄し効果を確認しながらこれを2~3回繰り返します。
おおよそ1時間ぐらいで終了します。

コロナ禍でマスクをしている事が多い昨今ですが、やはり白くキレイな歯は、皆さん憧れがあると思います。
歯が白いだけで、肌もキレイに見え垢抜けた印象、清潔感などから若々しくもみえます。
女性はリップの色と歯の色のバランスで、似合う口紅の色の幅が広がると思いますよ(^^)
マスク生活で話す事も表情を動かす事も少なくなると、シワやタルミの原因になると言われていますが、お口の中も動かさない事により唾液も減少するんです!唾液が減少すると着色が停滞し、さらに歯本来の変色にも繋がっていきます。
歯を白くキレイにすると、気持ちが明るくなるのも嬉しい効果ですね!
何か自分に変化をもたらしたい時や、自信が欲しい時などもおすすめです✨
いつでも相談して下さいね♪
